Live
News
Weather
Good Day
Sports
Contests
More
Watch Live
Expand / Collapse search
☰
Search site
News
America 250
Philadelphia
Pennsylvania
New Jersey
Delaware
More Local News
National News
World News
FOX News Sunday
Weather
7-Day Forecast
School Closings & Delays
FOX Weather
Radar
Temperatures
Watches/Warnings
Weather App
Good Day
Good Day After Show
Good Day Weekend
'Digest' Newsletter
Traffic
Watch Live
Ya Gotta Try This
Seen On TV
Good Day Uncut
Politics
Election
Election Results
Donald J. Trump
Josh Shapiro
Sports
Phantastic Sports Show
Futbol HQ
Eagles
Flyers
Phillies
76ers
Union
NFC B-East
FOX Sports App
Watch
How To Stream
Newscasts & Replays
LiveNOW from FOX
News Specials
Webcams
FOX Soul
YouTube
Local Matters
Entertainment
Contests
FOX Shows
The ClassH-Room
TMZ
Watch FOX Shows
Share Your Photos & Videos
FOX 29 Originals
MIKE
BAM
Behind The News
Bill & Shane
Kelly Drives
The 215
The Ladies Room
The Pulse
Health
Coronavirus
Dr. Mike
Health Care
Opioid Epidemic
Money
Business
Consumer
Deals
Personal Finance
Technology
Regional News
FOX LOCAL App
New Jersey News - My9NJ
New York News - FOX 5 NY
Washington DC News - FOX 5 DC
About Us
Apps
Contact Us
FCC Public File
FCC Applications
How To Advertise
Personalities
TV Listings
Jobs
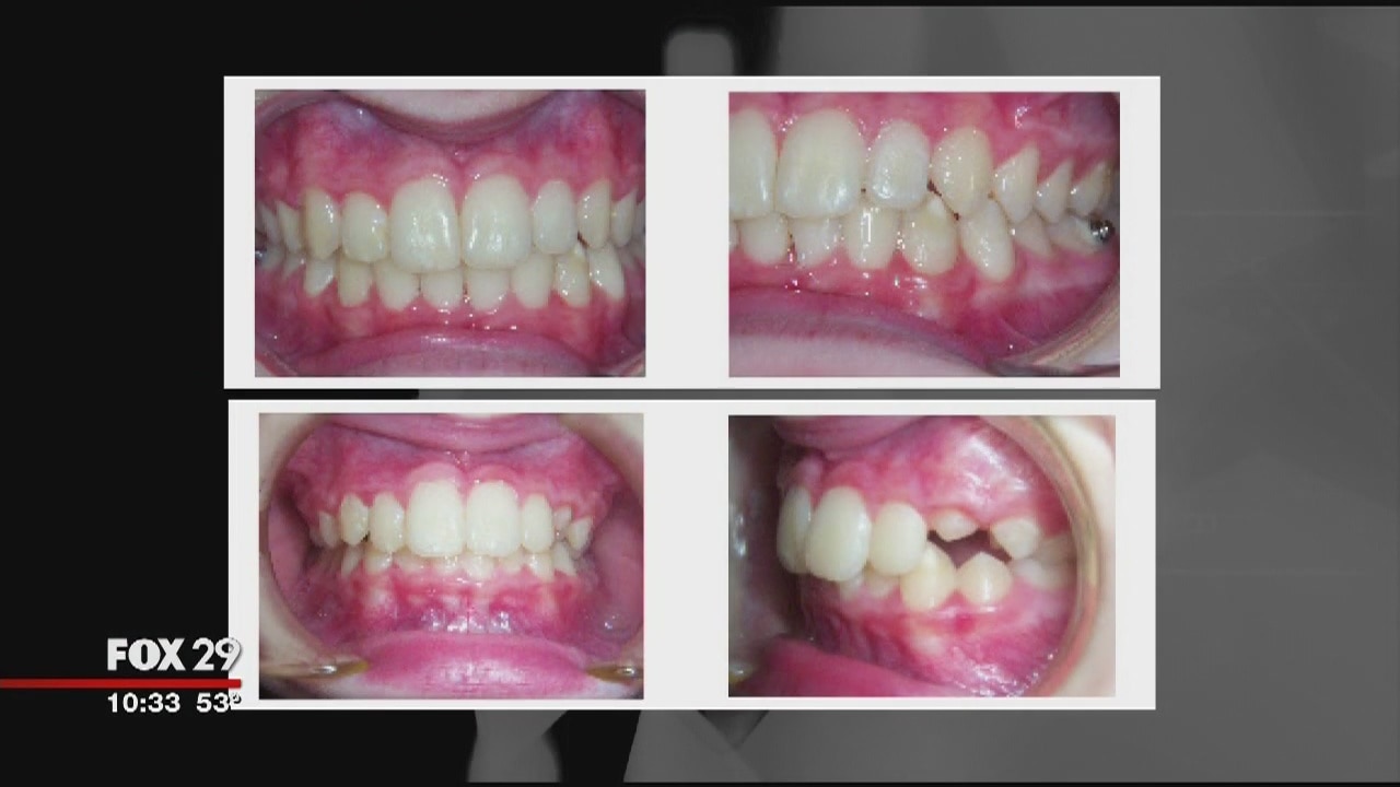
Invisalign has people smiling about their smile
FOX 29's Joyce Evans has the story.
Posted
October 12, 2016 7:16pm EDT
Share
Copy Link
Email
Facebook
Twitter
LinkedIn
Reddit
Show more
Top Videos
Show More