US Congresswoman Sheila Jackson Lee announces pancreatic cancer diagnosis
US Congresswoman Sheila Jackson Lee announces she has been diagnosed with pancreatic cancer on Sunday.
Sen. Bob Menendez reveals his wife has breast cancer as presentation of evidence begins at his trial
The New Jersey Democrat said there was concern about the seriousness and advanced stage of the disease that was recently diagnosed for Nadine Menendez. She was also charged in the bribery case, though her trial has been postponed until at least July.
Mammogram screening to detect breast cancer should now start at 40, panel says
Breast cancer is the second-most common cause of cancer death for U.S. women.
Illinois community celebrates as 2nd-grader returns home cancer-free
In a heartwarming display of community support, residents of Chatham, Illinois, gathered to celebrate the return of second-grader Judah Collins, who has triumphed over cancer.
Suffer from heartburn, acid reflux? It could be tell-tale sign of esophageal cancer
Tens of millions of Americans suffer from chronic heartburn and acid reflux and it could be a sign of something far more serious.
Persistent acid reflux, heartburn could be sign of esophageal cancer
Tens of millions of Americans suffer from chronic heartburn and acid reflux and it could be a sign of something far more serious.
PFAS and cancer: The truth behind 'forever chemicals'
The Biden administration has implemented stringent regulations on "forever chemicals" in drinking water
Accelerated aging connected to cancer risk in younger adults, study finds
Researchers in a recent study found that increased biological age could contribute to early-onset cancers in adults younger than 55.
Widower pays off school lunch debts statewide, honoring late wife's legacy
An Oklahoma widow has embarked on a mission to pay off school lunch debts for students across the state following the death of his wife from cancer.
Shannen Doherty simplifies life amid cancer battle
As she continues her cancer battle, Shannen Doherty is learning the importance of letting go.
Fifth Ward Cancer Cluster: EPA finds 41 creosote-linked chemicals in neighborhood
As residents in the neighborhood continue to deal with rare cancer diagnoses, recent EPA samples show a need for more testing of soil, gas, groundwater and sewers.
‘Ninja’ diagnosed with skin cancer: ‘Still in a bit of shock’
Tyler Blevins, who goes by Ninja on his Twitch streaming platform, revealed he was diagnosed with melanoma after dermatologists tested a mole on the bottom of the gamer’s foot.
Richard Simmons reveals skin cancer diagnosis
One day after concerning fans with a startling social media post in which he said he was "dying," Richard Simmons revealed he's been diagnosed with skin cancer.
What still has asbestos? EPA announces comprehensive ban on carcinogen
The Environmental Protection Agency (EPA) announced a comprehensive ban on asbestos due to its carcinogenic nature, despite its continued use in some products like chlorine bleach and brake pads, which still pose a threat to public health.
Olivia Munn breast cancer diagnosis sparks conversation of risk and calculator to assess risk
A breast cancer diagnosis from actress Olivia Munn is sparking an important conversation about awareness and prevention, but also about an online calculator that can gauge a person’s risk.
Olivia Munn breast cancer diagnosis sparks wider conversation regarding women's health
Actress Olivia Munn's breast cancer diagnosis sparks important conversation regarding risk and how to assess the risk.
Olivia Munn diagnosed with breast cancer
The 43-year-old actress has been battling the disease since April 2023.
Olivia Munn reveals breast cancer diagnosis
Actress Olivia Munn talked openly about her breast cancer diagnosis and encouraged other women to use all tools, including mammograms, doctor visits and an online risk calculator, to stay remain aware of health issues.
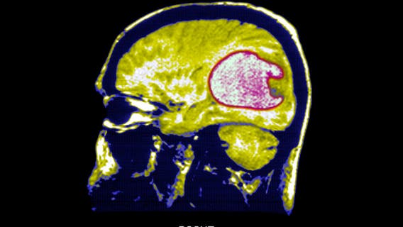
Scientists use new strategy to successfully shrink tumors in early brain cancer trials
Researchers converted immune cells from patients into "living drugs" with the ability to recognize and combat glioblastoma, a form of brain cancer.
Olivia Munn talks breast cancer diagnosis, online calculator which points to possible risk
Actress Olivia Munn has revealed that she was diagnosed with breast cancer and she is urging other women to calculate their own risk.



















