US surpasses 400,000 COVID-19 deaths, more than any other country in the world
The United States reached a grim milestone Tuesday when reported COVID-19 deaths from Johns Hopkins University surpassed 400,000 - a death toll far greater than any other country in the world.
The United States reached a grim milestone Tuesday when reported COVID-19 deaths from Johns Hopkins University surpassed 400,000 - a death toll far greater than any other country in the world.
COVID-19 pandemic prompts SAT to remove optional essay, subject tests
The College Board said Tuesday it will eliminate the optional essay from the SAT and do away with subject tests amid a changing college admissions landscape.
The College Board said Tuesday it will eliminate the optional essay from the SAT and do away with subject tests amid a changing college admissions landscape.
Philadelphia moves forward to Phase 1B of COVID-19 vaccinations
Phase 1B opens up coronavirus vaccinations for frontline essential workers, those who live and work in congregate settings, people over the age of 75, and people with certain high risk medical conditions.
Phase 1B opens up coronavirus vaccinations for frontline essential workers, those who live and work in congregate settings, people over the age of 75, and people with certain high risk medical conditions.
Georgia teen jailed in Cayman Islands released early
A Georgia college student jailed in the Cayman Islands for violating COVID-19 quarantine measures is back home.
A Georgia college student jailed in the Cayman Islands for violating COVID-19 quarantine measures is back home.
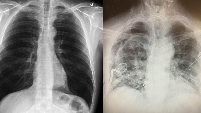
Texas surgeon noticing some post-COVID-19 lungs have more scar tissue than smokers’ lungs
A surgeon in Texas revealed she’s seeing a pattern of lung scarring in some patients who have had COVID-19 that’s worse than what she sees in smokers’ lungs.
A surgeon in Texas revealed she’s seeing a pattern of lung scarring in some patients who have had COVID-19 that’s worse than what she sees in smokers’ lungs.
California becomes first state to top 3 million virus cases
California has become the first state to record more than 3 million known coronavirus infections.
California has become the first state to record more than 3 million known coronavirus infections.
California probing separate coronavirus variant linked to large county outbreaks: officials
Scientists have discovered a new coronavirus variant in California, different than the variant that was found in the U.K.
Scientists have discovered a new coronavirus variant in California, different than the variant that was found in the U.K.
Black Doctors Consortium push for greater COVID-19 vaccine distribution
Jeff Cole has details regarding the Black Doctors Consortium's push for more COVID-19 vaccines
Jeff Cole has details regarding the Black Doctors Consortium's push for more COVID-19 vaccines
Nearly two-thirds of US states see rising COVID-19 death toll amid winter surge
Coronavirus deaths are rising in nearly two-thirds of American states as a winter surge pushes the overall toll toward 400,000 amid warnings that a new, highly contagious variant is taking hold.
Coronavirus deaths are rising in nearly two-thirds of American states as a winter surge pushes the overall toll toward 400,000 amid warnings that a new, highly contagious variant is taking hold.
California official calls for pause on Moderna vaccine batch due to possible allergic reaction
California health officials are recommending providers pause the administration of a specific batch of the Moderna COVID-19 vaccine due to possible allergic reactions that are under investigation.
California health officials are recommending providers pause the administration of a specific batch of the Moderna COVID-19 vaccine due to possible allergic reactions that are under investigation.
California man allegedly lived in airport for months because he was afraid to fly: report
A California man who told police that the coronavirus pandemic left him afraid to fly has been arrested on charges that he hid in a secured area at Chicago’s O’Hare International Airport for three months.
A California man who told police that the coronavirus pandemic left him afraid to fly has been arrested on charges that he hid in a secured area at Chicago’s O’Hare International Airport for three months.
Hundreds of children being admitted to Arizona hospitals for COVID-19
Children are being hospitalized for COVID-19 at record numbers in Arizona, according to a Banner Health spokesperson on Jan. 17. She backs up her claim with data that looked at trending numbers for several months in 2020.
Children are being hospitalized for COVID-19 at record numbers in Arizona, according to a Banner Health spokesperson on Jan. 17. She backs up her claim with data that looked at trending numbers for several months in 2020.
Fact or fiction: Dr. Mike debunks popular myths about the COVID-19 vaccine
FOX 29's Alex George has more on the popular myths surrounding the coronavirus vaccine.
FOX 29's Alex George has more on the popular myths surrounding the coronavirus vaccine.
New COVID-19 strains shows possible 'resistance' to antibody, but not vaccines
President-elect Joe Biden’s nomination to head the CDC, Dr. Rochelle Walensky, said at least one new coronavirus strain has shown resistance to treatments - but insists the vaccines are still effective.
President-elect Joe Biden’s nomination to head the CDC, Dr. Rochelle Walensky, said at least one new coronavirus strain has shown resistance to treatments - but insists the vaccines are still effective.
Philadelphia restaurants battered by pandemic gleefully welcome diners back inside
The city is allowing restaurants, theaters and other indoor entertainment venues to reopen at 25 percent capacity in an effort to control the spread of COVD-19. Some in the industry say opening at any capacity during these winter months is better than nothing.
The city is allowing restaurants, theaters and other indoor entertainment venues to reopen at 25 percent capacity in an effort to control the spread of COVD-19. Some in the industry say opening at any capacity during these winter months is better than nothing.
First confirmed case of U.K. coronavirus variant found in Los Angeles County
The Los Angeles County Department of Public Health has confirmed the first case of COVID-19 variant B.1.1.7. It is the same variant that was discovered in the United Kingdom.
The Los Angeles County Department of Public Health has confirmed the first case of COVID-19 variant B.1.1.7. It is the same variant that was discovered in the United Kingdom.
Ice cream from China contaminated with coronavirus: report
Officials believe the coronavirus was able to survive in the ice cream due to the cold temperature and was likely transferred from a person who had the disease.
Officials believe the coronavirus was able to survive in the ice cream due to the cold temperature and was likely transferred from a person who had the disease.
Indoor dining resumes in Philadelphia with restrictions on Saturday
Philadelphia has joined the rest of Pennsylvania on Saturday and will allow indoor dining to return with restrictions on capacity and party size.
Philadelphia has joined the rest of Pennsylvania on Saturday and will allow indoor dining to return with restrictions on capacity and party size.
Company selling body bags sees demand spike amid COVID-19 surge
A company has increased production of its most popular item: the disaster pouch, known by many as body bags.
A company has increased production of its most popular item: the disaster pouch, known by many as body bags.
COVID-19 vaccination megasite opens at Moorestown Mall
The demand for the COVID-19 vaccine remains high in New Jersey as a new megasite opened Friday at the Moorestown Mall in Burlington County.
The demand for the COVID-19 vaccine remains high in New Jersey as a new megasite opened Friday at the Moorestown Mall in Burlington County.



















