Toddler, paralyzed from neurological disorder, given celebratory sendoff as he walks out of hospital
A two-year-old boy who was completely paralyzed at the beginning of December 2020 walked out of the Akron Children’s Hospital in Ohio on January 29 to the applause of adoring staff and family.
A two-year-old boy who was completely paralyzed at the beginning of December 2020 walked out of the Akron Children’s Hospital in Ohio on January 29 to the applause of adoring staff and family.
Ohio police officer charged with murder in shooting death of Andre Hill
A white Ohio police officer was indicted Wednesday on a murder charge in the latest fallout following the December shooting death of 47-year-old Andre Hill, a Black man, the state's attorney general said.
A white Ohio police officer was indicted Wednesday on a murder charge in the latest fallout following the December shooting death of 47-year-old Andre Hill, a Black man, the state's attorney general said.
Former school therapist in Ohio arrested for alleged involvement in US Capitol riot
Christine Priola, 49, a former occupational therapist for the Cleveland schools, was arrested for her alleged involvement in the deadly pro-Trump Capitol riot.
Christine Priola, 49, a former occupational therapist for the Cleveland schools, was arrested for her alleged involvement in the deadly pro-Trump Capitol riot.
New variant of COVID-19 similar to U.K. strain discovered in patient in Ohio
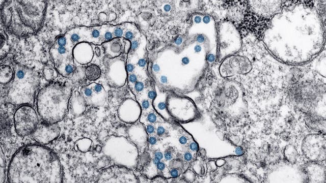
Researchers have discovered a new variant of the SARS-Cov-2, the virus that causes COVID-19, in a patient in Ohio.
Researchers have discovered a new variant of the SARS-Cov-2, the virus that causes COVID-19, in a patient in Ohio.
Former Ohio officer threatened violence in DC with homemade guns, police say
Investigators in Polk County say a former police officer from Ohio, upset by allegations of voter fraud, wrote about building homemade guns and heading to Washington to carry out violence.
Investigators in Polk County say a former police officer from Ohio, upset by allegations of voter fraud, wrote about building homemade guns and heading to Washington to carry out violence.
Ohio governor signs bill requiring fetal abortion remains to be buried or cremated
Fetal remains from surgical abortions in Ohio must be cremated or buried under a new bill signed by Gov. Mike DeWine.
Fetal remains from surgical abortions in Ohio must be cremated or buried under a new bill signed by Gov. Mike DeWine.
Ohio boy abandoned at cemetery before Christmas reunited with dad, dog
The boy, identified only as Tony, received an outpouring of support from police and the local community after officers found him at the Hope Memorial Gardens Cemetery on Dec. 23.
The boy, identified only as Tony, received an outpouring of support from police and the local community after officers found him at the Hope Memorial Gardens Cemetery on Dec. 23.
Ohio State study: 30% of student athletes have heart damage linked to COVID-19
Researchers from Ohio State University found that 30% of more than two dozen student athletes who recovered from COVID-19 exhibited cellular heart damage, and 15% showed signs of heart inflammation.
Researchers from Ohio State University found that 30% of more than two dozen student athletes who recovered from COVID-19 exhibited cellular heart damage, and 15% showed signs of heart inflammation.
Tamir Rice: DOJ won't charge officers involved in 2014 fatal shooting of 12-year-old
The Justice Department announced Tuesday that it would not bring federal criminal charges against two Cleveland police officers in the 2014 killing of 12-year-old Tamir Rice, saying video of the shooting was of too poor a quality for prosecutors to conclusively establish what had happened.
The Justice Department announced Tuesday that it would not bring federal criminal charges against two Cleveland police officers in the 2014 killing of 12-year-old Tamir Rice, saying video of the shooting was of too poor a quality for prosecutors to conclusively establish what had happened.
Rare, Mandarin duck spotted in Ohio park
The photographer said that he has been interested in photography for a while, but just picked up wildlife photography about five years ago.
The photographer said that he has been interested in photography for a while, but just picked up wildlife photography about five years ago.
Family of Black man fatally shot by deputy says he was holding sandwich, not gun
The Justice Department and FBI will help review the fatal shooting by an Ohio sheriff’s deputy of a Black man.
The Justice Department and FBI will help review the fatal shooting by an Ohio sheriff’s deputy of a Black man.
MLB launches wood-bat league for draft-eligible prospects
The founding members of the MLB Draft League are located in Ohio, Pennsylvania, West Virginia and New Jersey.
The founding members of the MLB Draft League are located in Ohio, Pennsylvania, West Virginia and New Jersey.
Some Ohio hospitals running out of ventilators, Cleveland Clinic says
A top Cleveland Clinic official says some Ohio hospitals are running out of ventilators due to the worsening COVID-19 outbreak and a sharp increase in hospitalizations.
A top Cleveland Clinic official says some Ohio hospitals are running out of ventilators due to the worsening COVID-19 outbreak and a sharp increase in hospitalizations.
Man leaves $3K tip for a single beer as restaurant closes due to pandemic
A customer left a $3,000 tip for a single beer as a restaurant voluntarily closed because of the COVID-19 pandemic.
A customer left a $3,000 tip for a single beer as a restaurant voluntarily closed because of the COVID-19 pandemic.
Ohio wedding linked to at least 32 coronavirus cases: 'Nobody's wearing a mask'
At least 32 people who attended a wedding in Ohio last month have reportedly contracted the coronavirus, including the bride and groom and two of the couple’s grandparents.
At least 32 people who attended a wedding in Ohio last month have reportedly contracted the coronavirus, including the bride and groom and two of the couple’s grandparents.
'That looks like me:' Mixed-race girl notes while looking at video of Kamala Harris
"Kamala Haris, a woman in power, a woman of color. From the bottom of our brown-girl hearts. Thank you. Representation matters."
"Kamala Haris, a woman in power, a woman of color. From the bottom of our brown-girl hearts. Thank you. Representation matters."
Woman runs for sheriff, makes history after beating former boss who fired her
A newly elected Ohio sheriff will be the first openly gay person to head her department after a primary win over her former boss, who she claims fired her over her sexual orientation.
A newly elected Ohio sheriff will be the first openly gay person to head her department after a primary win over her former boss, who she claims fired her over her sexual orientation.
Single foster dad adopts five siblings so they can all stay together
Robert Carter grew up in foster care and was separated from his siblings for years. So when he learned the three brothers he was fostering had two sisters, he decided to adopt all five so they could stay together.
Robert Carter grew up in foster care and was separated from his siblings for years. So when he learned the three brothers he was fostering had two sisters, he decided to adopt all five so they could stay together.
Ohio sheriff offers to help celebrities who want to leave US if Trump wins
Sheriff Richard "Rick" Jones of Butler County, Ohio says he's ready to offer a helping hand, and even some of his own money, to "celebrities... movie stars... and sports figures" who have said they will leave the United States if President Donald Trump wins re-election.
Sheriff Richard "Rick" Jones of Butler County, Ohio says he's ready to offer a helping hand, and even some of his own money, to "celebrities... movie stars... and sports figures" who have said they will leave the United States if President Donald Trump wins re-election.
Woman attempts to light stranger’s porch on fire
An Ohio woman says a stranger tried to set fire to her home, and a surveillance camera captured the attempt.
An Ohio woman says a stranger tried to set fire to her home, and a surveillance camera captured the attempt.



















